|
ÀÇÁ¤ºÎÀ»Áö´ëº´¿ø °©»ó¼±³»ºÐºñ¿Ü°ú ³ªÃæ½Ç, È«¼®ÁØ ±³¼ö ¿¬±¸ÆÀ
¡¯º¹°°æ Èĺ¹¸· ºÎ½ÅÀýÁ¦¼ú¡¯ ¼ö¼ú½Ã°£ ¿¬Àå ¿¹ÃøÀÎÀÚ ¿¬±¸
ºÎ½ÅÁ¾¾ç¿¡ ´ëÇÑ ¼ö¼ú½Ã°£À̳ª ³À̵µ´Â Á¾¾çÀÇ Å©±â³ª ȯÀÚÀÇ ±âÀúÁúȯº¸´Ùµµ Á¾¾çÀÇ À§Ä¡¿¡ ´õ ¸¹Àº ¿µÇâÀ» ¹Þ´Â´Ù´Â ¿¬±¸°á°ú°¡ ³ª¿Ô´Ù.
ÀÇÁ¤ºÎÀ»Áö´ëÇб³º´¿ø °©»ó¼±³»ºÐºñ¿Ü°ú ³ªÃæ½Ç, È«¼®ÁØ ±³¼ö ¿¬±¸ÆÀÀº ¡®º¹°°æ Èĺ¹¸· ºÎ½ÅÀýÁ¦¼ú¡¯À» ¹ÞÀº ȯÀÚ 284¸íÀÇ °³Àκ° Ư¼º°ú Á¾¾çÀÇ ÇüŸ¦ ¹ÙÅÁÀ¸·Î ¼ö¼ú½Ã°£ ¿¬Àå ¿øÀÎÀ» ºÐ¼®Çß´Ù.
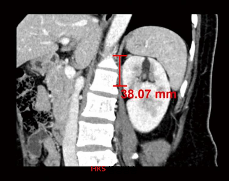
ÀÌ ¿¬±¸¿¡¼ ´Ùº¯·® ·ÎÁö½ºÆ½ ȸ±ÍºÐ¼®*À» ÅëÇØ ¼ö¼ú½Ã°£°ú ȯÀÚµéÀÇ ¡ã¼ºº° ¡ã¿¬·É ¡ã±âÀúÁúȯ ¡ãÁ¾¾çÀÇ Æ¯¼º µîÀ» ºÐ¼®ÇØ ¼ö¼ú½Ã°£ ¿¬Àå ¿¹ÃøÀÎÀÚµéÀ» È®ÀÎÇÑ °á°ú ºÎ½ÅÁ¾¾ç ÇϺο¡¼ ½ÅÀå »óºÎ±îÁöÀÇ ¼öÁ÷ °Å¸®(±×¸²1)°¡ ¼ö¼ú½Ã°£À» ¿¬Àå½ÃŰ´Â ÁÖ¿ä ¿¹ÃøÀÎÀÚÀÎ °ÍÀ¸·Î ¹àÇôÁ³´Ù.
*´Ùº¯·® ·ÎÁö½ºÆ½ ȸ±ÍºÐ¼®(Multivariate logistic regression analysis) : º¯¼ö °£ ¿¬°ü¼ºÀ» È®ÀÎÇÏ´Â ºÐ¼®¹ý
<±×¸²1> ºÎ½ÅÁ¾¾ç ÇϺο¡¼ ½ÅÀå »óºÎ±îÁöÀÇ ¼öÁ÷ °Å¸®
ÀÌ¾î ¡ã±âÀúÁúȯ(°¥»ö¼¼Æ÷Á¾) ¡ã¼ºº° ¡ãºÎ½Å ÁÖº¯ÀÇ Áö¹æ ºÎÇÇ ¡ãÈĺΠºñ¸¸Áö¼ö(PAI) µîÀÇ ¼øÀ̾ú´Ù. Áï ±âÀúÁúȯÀ¸·Î °¥»ö¼¼Æ÷Á¾À» ¾Î°í Àִ ȯÀÚ´Â ´Ù¸¥ ºÎ½ÅÁúȯÀ» ¾Î°í Àִ ȯÀÚ¿¡ ºñÇØ »ó´ëÀûÀ¸·Î ¼ö¼ú½Ã°£ÀÌ ±æ¾ú´Ù.(Ç¥1 ÂüÁ¶)
ÀÌ¿¡ ¹ÝÇØ Á¾¾çÀÇ Å©±â¿Í ȯÀÚÀÇ ½ÅüÀû ¿äÀÎÀÎ BMI(ºñ¸¸ Á¤µµ)´Â °ÅÀÇ ¿µÇâÀ» ¹ÌÄ¡Áö ¾Ê¾Ò´Ù.
±¸ºÐ
Æò±Õ ¼ö¼ú½Ã°£
±³Â÷ºñ**
(Adjusted OR)
78ºÐ ¹Ì¸¸(213¸í)
78ºÐ ÀÌ»ó(71¸í)
¼ºº°
³²¼º
33.8%
62.0%
2.540(1.225–5.266)
¿©¼º
66.2%
38.0%
±âÀúÁúȯ
Äí½ÌÁõÈıº
39.0%
19.7%
-
°¥»ö¼¼Æ÷Á¾
17.8%
49.3%
3.669(1.548–8.694)
¿ø¹ß¼º
¾Ëµµ½ºÅ×·ÐÁõ
32.4%
21.1%
1.270(0.486–3.320)
±âŸ ¾ç¼ºÁ¾¾ç
10.8%
9.9%
1.334(0.406–4.384)
Á¾¾çÀÇ Å©±â(cm)
2.5(¡¾1.1)
3.0(¡¾1.4)
1.946(0.935–4.050)
½ÅÀå »óºÎ¿¡¼ ºÎ½ÅÁ¾¾ç ÇϺαîÁö ¼öÁ÷ °Å¸®(cm)
1.6(¡¾1.4)
2.4(¡¾1.7)
3.793(1.660–8.667)
ºÎ½Å ÁÖº¯ÀÇ Áö¹æ ºÎÇÇ(mL)
34.9(¡¾2.7)
70.9(¡¾8.3)
2.366(1.120–4.996)
ÈĺΠºñ¸¸Áö¼ö(PAI)(cm)
4.0(¡¾1.2)
4.7(¡¾1.6)
2.171(1.090–4.324)
<Ç¥1> ȯÀÚ Æ¯¼º¿¡ µû¸¥ ¼ö¼ú½Ã°£ ¿¬Àå ¿äÀÎ ºÐ¼® °á°ú
**±³Â÷ºñ(OR; Odds Ratio) : ±×·ì¿¡¼ µ¿ÀÏÇÑ »ç·Ê°¡ ¹ß»ýÇÒ È®·üÀ» ´Ù¸¥ ±×·ì°ú ºñ±³ÇÑ °ª. 1º¸´Ù Å©¸é À§Çèµµ Áõ°¡
ÀÌ·¯ÇÑ ¿¹Ãø¹æ¹ýÀº ÀÇ·áÁøÀÌ º¹ÀâÇÑ °úÁ¤À» °ÅÄ¡Áö ¾Ê°í ȯÀÚÀÇ ¿¹ÈÄ¿¡ Å« ¿µÇâÀ» ¹ÌÄ¡´Â ¼ö¼ú½Ã°£À» ½±°Ô ¿¹ÃøÇÏ°í °ü¸®ÇÏ´Â µ¥ µµ¿òÀÌ µÉ °ÍÀ¸·Î º¸ÀδÙ.
º¹°°æ Èĺ¹¸· ºÎ½ÅÀýÁ¦¼úÀº Èĺ¹¸·(¿·±¸¸®)¿¡ º¹°°æÀ» »ðÀÔ, ´Ù¸¥ Àå±â¸¦ °Çµå¸®Áö ¾Ê°í Á÷Á¢ ºÎ½Å¿¡ Á¢±ÙÇØ Á¾¾çÀ» Á¦°ÅÇÏ´Â ¼ö¼ú¹ýÀ¸·Î ÈÄÀ¯ÁõÀÌ Àû°í ȸº¹ÀÌ ºü¸£´Ù. ±×·¯³ª ¼ö¼ú ½Ã¾ß°¡ »ó´ëÀûÀ¸·Î Á¼°í Àͼ÷Ä¡ ¾Ê¾Æ ¼ö¼ú¿¡ ¸¹Àº ¾î·Á¿òÀ» ÁØ´Ù.
ÀÇÁ¤ºÎÀ»Áö´ëº´¿ø °©»ó¼±³»ºÐºñ¿Ü°ú ³ªÃæ½Ç ±³¼ö´Â ¡°ºÎ½ÅÁ¾¾çÀÇ À§Ä¡´Â ¼ö¼ú Àü CT°Ë»ç¸¦ ÅëÇØ ½±°Ô ÃøÁ¤ÇÒ ¼ö ÀÖ´Ù¡±¸ç, ¡°À̹ø ¿¬±¸°¡ ȯÀÚÀÇ ¿¹ÈÄ¿¡ Å©°Ô ¿µÇâÀ» ¹ÌÄ¡´Â ¼ö¼ú½Ã°£À» »çÀü¿¡ ¿¹ÃøÇØ ´ëºñÇÏ°í »çÈİü¸®¿¡ µµ¿òÀÌ µÉ °ÍÀ¸·Î ±â´ëÇÑ´Ù¡±°í ¸»Çß´Ù.
À̹ø ¿¬±¸´Â ±¹Á¦ ¼ö¼ú ÇмúÁöÀÎ ¡¯International Journal of Surgery¡® 10¿ùÈ£(Volume 94, Article 106113)¿¡ °ÔÀçµÆ´Ù.
°æ±â¹æ¼Û±¹(±¹Àå:Á¤¿µ¸ð) 5252yung@naver.com HP:010.7935.0117
2026.03.29(ÀÏ) 22:02
















